
В Московский областной центр охраны материнства и детства в городском округе Люберцы поступил 17-летний юноша с жалобами на слабость, высокую температуру, кашель и боль в правой половине грудной клетки.
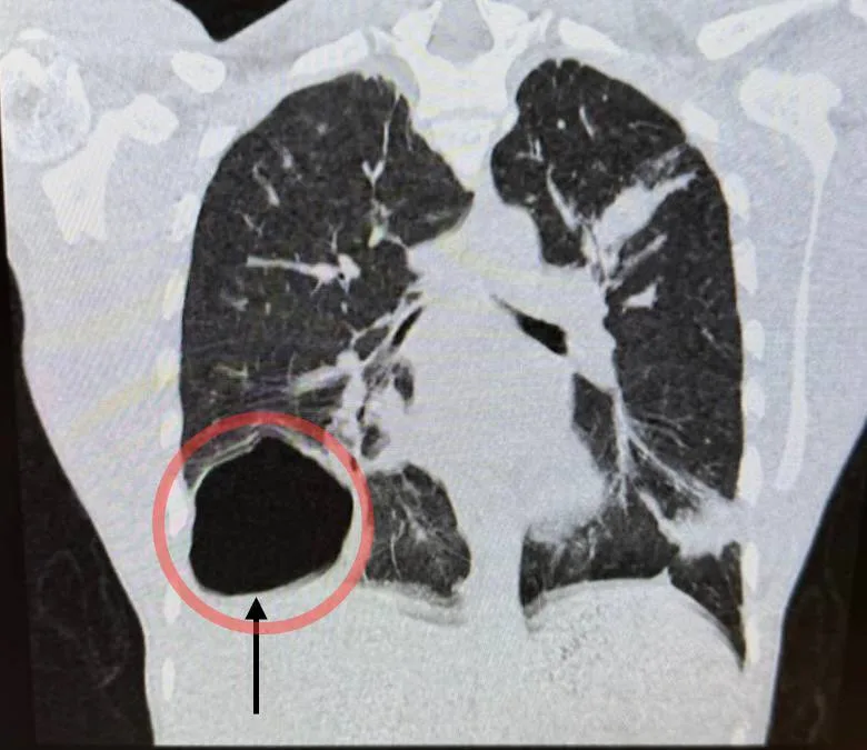
Проведенная диагностика выявила крупную паразитарную кисту правого легкого. Ее размер был сопоставим с размером головы новорожденного ребенка. Киста образовалась из-за попадания в организм гельминта - эхинококка.
Специалисты отмечают, что заражение паразитом происходит при общении с животными. Его яйца не видны невооруженным глазом и могут попасть в пищеварительную систему человека через немытые руки. Долгое время заболевание протекает бессимптомно, поэтому пациенты чаще всего обращаются к врачу, когда киста сильно увеличивается. Патология может маскироваться под другие заболевания в зависимости от локализации кисты. Пациентов могут беспокоить тяжесть в животе, головная боль, головокружение, боль в груди, кашель.
«После подтверждения диагноза с помощью лабораторного контроля и компьютерной томографии мы приняли решение о проведении операции. В нашем отделении накоплен большой опыт хирургического лечения данной патологии малоинвазивными методами через несколько проколов. Такая щадящая операция сильно сокращает травматичность вмешательства и сроки реабилитации. В данном случае мы избежали широкого разреза. Операция прошла успешно, послеоперационный период протекал без особенностей», - сказал заведующий отделением детской хирургии Владимир Трунов.
Сейчас юноша уже выписан домой с выздоровлением под амбулаторное наблюдение и вернулся к обычной жизни.





























